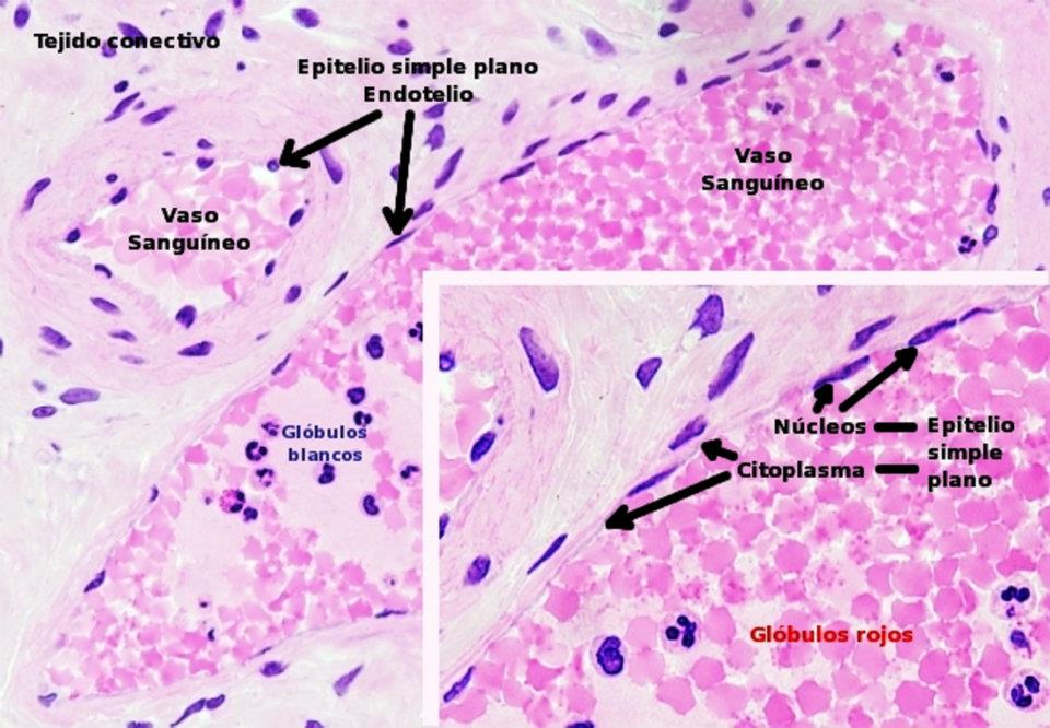
Endotelio. Endotelio. Endotelio, que forma la túnica íntima, en contacto con eritrocito (E). El endotelio 1 es un conjunto complejo y organizado de células, que tapiza la luz de todos los vasos sanguíneos, incluida la capa del corazón denominada endocardio. Ha dejado de considerarse una simple barrera, que contiene al plasma sanguíneo y a.. El endotelio de los vasos sanguíneos es continuo con el revestimiento interno del tejido de órganos como el cerebro, los pulmones, la piel y el corazón. En el corazón, esta capa interna se llama endocardio. Micrografía electrónica de barrido de color (SEM) de un molde de resina de vasos sanguíneos en el tejido humano..

Atlas Cel Microscopia, Biologia Celular, Embriologia, Histologia e

Póster «Endotelio de vasos sanguíneos» de Immy Redbubble

¿Cuántos tipos de vasos sanguíneos existen? Curiosoando

Histologia TEJIDO EPITELIAL

MEDICINA EN EL LENGUAJE DE LA GENTE CLASES DE ANATOMIA HUMANA

Histologia de los vasos sanguineos Diapositivas de Histología Docsity

Vaso Sanguineo Anatomia y fisiologia humana, Anatomía médica

PPT CRISTALES COLOIDALES PowerPoint Presentation ID5396002

PORTAFOLIO DIGITAL DE EVIDENCIAS PARA EL APRENDIZAJE DE FISIOLOGÍA

PPT Sangre Corazón Vasos Sanguíneos PowerPoint Presentation, free
Fisiología Básica Caracteristicas de los vasos Sanguineos

Vasos sanguíneos en tejido embrionario. Los vasos están revestidos por

Fisiología Humana Endotelios moléculas liberadas y sus funciones.

Endotelio vascular

Plantão Médico HISTOLOGÍA TEJIDO EPITELIAL DE REVESTIMIENTO Y GLANDULAR

El Endotelio y la Nutrición Cuántica Cuantic NutritionCuantic Nutrition
Portafolio de Fisiologia Endotelio
Descubriendo el universo de la fisiología... Moléculas presentes en

Vasos Sanguíneos Mind Map

Dr. José Sabán "El endotelio de los vasos sanguíneos determina nuestra
El endotelio es una capa delgada de células epiteliales que recubre el interior de los vasos sanguíneos. Cubre todo el sistema circulatorio, incluido el corazón y todas las venas, arterias y capilares. El endotelio que recubre el corazón también se llama endocardio, aunque es similar al tejido que recubre los vasos sanguíneos.. 19 TÍTULO DEL ARTÍCULO HEMATOLOGÍA • Volumen 21 Nº Extraordinario • Fisiología de la hemostasia normal: 19-30, 2017 Endotelio vascular Vascular endothelium